Teeth and Implants
in a Day
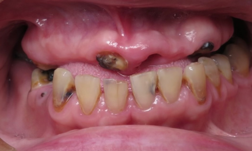
The struggle is real.
Many people struggle with their eating and chewing capabilities due to damaged or missing teeth, bone loss, or other dental conditions that have not been addressed over time. Reasons that may attribute to why someone may be in this situation include dental fear, medical or dental health conditions, or poor access to quality care. Not being able to properly chew or eat certain foods can critically decrease someone’s quality of life and overall health and wellness. Traditionally, the only solution to fix these problems was to have all existing teeth removed and replaced with traditional dentures.
Traditional dentures?
Traditional dentures are held in place by bracing secured around the remaining jawbone and gum tissue of a patient’s dental arch. Struggle is inevitable with these appliances, especially if one deals with dry mouth, complicated anatomy, or jaw joint issues. Adaption to chewing, smiling, and especially talking, can be slow and difficult. Loose fit dentures requiring lots of denture adhesive can also make eating the foods that people want very difficult, if not impossible. Dentures can cause social anxiety and stop people from attending events, job interviews, business activities, or romantic engagements. This can lead to depression, malnutrition, denied professional advancement, and overall unhappiness with life.
People who are not in this predicament have a hard time empathizing with just how hard life can be without proper functioning teeth, no teeth at all, or ill-fitted dentures, however, West Wind Dental is very experienced in dealing with these situations. We understand fully that your smile is your first impression, and your confidence and health are directly related to it.
The answer!
If you are in a situation like any of the ones described above, the doctors and staff at West Wind Dental understand what you are going through. Patients that are dealing with ill-fitted dentures or missing many, most, or all of their teeth visit our office nearly every day and I am proud to say we have the advanced implant dentistry solutions to transform your life. It brings me joy when patients find us because I have dedicated my entire life to solving these issues and giving people their smiles back.
Full mouth dental implant reconstruction is the best solution on the market to date. There are many trademark names used to describe this treatment, but at West Wind Dental, we call it Teeth and Implants in a Day. A full mouth dental implant reconstruction offers a level of stability and security that you cannot achieve with traditional dentures. It also prevents bone loss and gum recession from occurring.
What are dental implants?
Dental implants allow me to create solid fixtures in a patient’s remaining bone and a foundation for beautifully designed prosthetic teeth so I can give someone back their smile and the jaw stability they may have never had.
Most often, a full mouth dental implant reconstruction procedure can be completed in one day. It is effectively the most transformative procedure I do at West Wind Dental.
What is the process like?



We start with a thorough consultation to get to know one another and understand the patient’s oral situation. We go over a complete dental and medical history to determine if the Teeth and Implants in a Day procedure is the correct course of action. If so, photos and x-rays are taken to verify each problem area and we begin to digitally design your new teeth and smile.
Once planning is complete, the surgery date and pre-operative appointment are scheduled, taking into consideration all types of sedation and anesthetic that will be required to keep you safe and relaxed not only during the procedure but after the procedure as well.
On the day of surgery, you will be directed to a comfortable clinical setting, with a warm, welcoming, and capable team of professionals ready to help you.
The first thing we do is scan the implant position with a special camera that utilizes a very unique technology called photogrammetry. The information is virtually relayed to our dental lab that fabricates the beautiful design on a 3D printer and sends it back to our office for insertion. During this process, some patients elect to stay and relax in our recovery area until it is complete, and others decide to rest at home and come back. About 3 to 4 hours later, the West Wind Dental team works together to complete the implant placement, securing your teeth in your mouth and adjusting them for optimal fit in another 2 to 3 hours of time.
A couple of post-operative appointments are then scheduled for us to go over proper home care, evaluate the implant fit, and ensure the overall healing process goes smoothly. After approximately 4 months of wearing the prosthetics, you may find areas that need to be changed for esthetic purposes and then a final prosthetic is designed and milled for final placement!
Upon completion of the Teeth and Implants in a Day procedure, the healing process, and final placement, we advise you on best practices to protect your investment. We require our patients to have regular recall and hygiene visits to make sure implants and prosthetics are healthy and functioning optimally. Depending on home care, patients should expect to come in 2 to 4 times a year.
Two words: LIFE. CHANGING.
Most patients that partner with West Wind Dental to complete the life-changing Teeth and Implants in a Day procedure only regret is that they should have done it sooner. A full mouth dental implant reconstruction changes lives in such a positive manner that I want to scream about it from the mountain tops!
Worried about financing?
At West Wind Dental, we understand there may be financial barriers preventing someone from getting this advanced implant dentist procedure done. We are happy to work with patients to find responsible financing solutions and help create a pathway to oral and emotional health. Please contact our office to schedule a consultation with my team today!
Dr. Andrew Hamilton, DDS, FAGD
Dr. Hamilton is an active member of several professional organizations including the American Dental Association (ADA), the Michigan Dental Association (MDA), the Kalamazoo Valley District Dental Society (KVDDS), the American Academy of Implant Dentistry (AAID), the International Academy of Facial Aesthetics (IAFA), and the International Congress of Oral Implantologists (ICIO). He also routinely attends courses through the Pikos Institute in Northwest Florida and has achieved fellowship status in the International Dental Implant Association (IDIA) as well as the Academy of General Dentistry (FAGD). Dr. Hamilton is a proud alumnus of the Kois Center program in Seattle and is currently serving on the faculty of the Global Dental Implant Academy (GDIA).
With the little spare time left over, you’ll find Dr. Hamilton enjoying his time steelhead and salmon fishing and playing the occasional round of golf.